News お知らせ

TOPブログ犬の全耳道切除術について
2018.9.28 ブログ

犬の全耳道切除術について

全耳道切除術

犬及び猫の重度の慢性外耳炎は、鼓膜の損傷を伴うことがあり中耳炎へと進む事になってしまいます。
外耳道に重度の炎症が存在しても外耳道が狭くなっていなければ内科的に治療が可能かも知れません。
しかし耳介軟骨が重度に石灰化や骨化したり、上皮の過形成がひどくなっている場合や、外耳道のできものにより耳垢が排出できなくなっている場合には内科的な治療が困難となります。
このような場合には全耳道切除手術を実施せざるを得なくなります。

先日今までに経験したことのないほどひどい外耳炎、中耳炎を患う高齢犬の手術を実施しましたのでここでご紹介致します。

 

全耳道切除術実施例の紹介

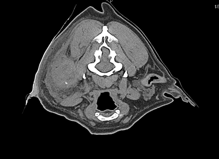
ビーグル、16歳、左耳の周辺が激しく腫れ上がり複数箇所から排膿。
CT検査により外耳から中耳に至る腫瘤の存在が疑われ、耳道軟骨は骨化し、化膿巣は目の下から首にまで達していました。
2カ月前当院での手術を希望し来院されました。

全耳道切除手術と同時に巨大化膿巣の切除も実施しました。
その際耳介直下の皮膚を、およそ手の平1枚分切除せざるを得ませんでした。
腫瘤の病理検査を行った結果は耳垢腺腫(良性腫瘍)でしたので、この手術で完治しました。

 

耳道より前の腫れ、目の下にまで広がる

耳道レベルの腫れ、白いのは骨化し崩れた外耳道

外耳道後方の腫れ、頚部にも広がる化膿巣

全耳道切除術実施2カ月後